Heupdysplasie (HD)
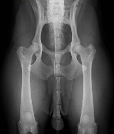
Heupdysplasie is een ontwikkelingsstoornis van de heupgewrichten, veroorzaakt door zowel erfelijke factoren als milieufactoren. Symptomen zijn moeite met opstaan en kreupelheid aan de achterhand. HD kan worden vastgesteld door het maken van röntgenfoto's van de heupgewrichten. Uitslag HD-A is het beste, HD-E het slechtst.
Zie bron https://tollertales.nl/index.php/heupdysplasie/

Een HD foto, resultaat HD A, norbergwaarde 38